Webinar
Demystifying echocardiography in heart failure: GP and cardiologist Q&A
Join our panel of GPs as they discuss case scenarios and accompanying echocardiogram images with an expert heart failure cardiologist.
-
Cost: free

The NPS MedicineWise program on heart failure has been developed in collaboration with the National Heart Foundation of Australia.
Accreditation
It is recommended that 1 CPD hour be recorded for the purposes of self-directed CPD.
About
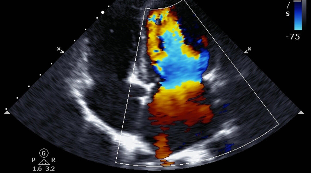
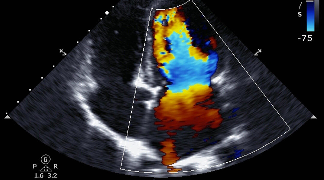
Heart failure may be difficult to diagnose, as the signs and symptoms can be non-specific.
This webinar has been developed in collaboration with the National Heart Foundation of Australia to explore the important role echocardiography plays in the diagnosis and classification of heart failure. It has been designed to enhance GP awareness of the importance of echocardiogram referral and increase confidence in interpreting and acting on findings when developing a management plan.
The panel will discuss key practice points and common challenges arising in general practice using case scenarios with sample echocardiogram reports.
Our expert cardiologist will describe how key findings of an echocardiogram can influence ongoing management to optimise patient outcomes.
Learning Outcomes
By the end of this activity, participants will be able to:
- Describe why an echocardiogram is the most important investigation to confirm the diagnosis and classification of heart failure and to guide management.
- Demonstrate improved ability and confidence in referring, interpreting and developing a management plan for patients with heart failure in response to echocardiogram findings.
- Identify when referral to a cardiologist and multidisciplinary heart failure disease management program is advisable to reduce heart failure hospitalisations.
Reading & resources
Webinar slides
More resources
Meet the panel

Dr Jill Thistlethwaite – Facilitator
Jill is a general practitioner with over 25 years of experience as a health professional education consultant. She is a Medical Adviser to NPS MedicineWise.
Jill previously worked in academia and is regularly invited to speak and facilitate at global health professional events. She holds a PhD in medical education.
Her interests include shared decision-making in health care, team-based practice and women’s health. She has written and edited several books and co-edits a journal for clinical teachers.

Dr Jennifer Coller – Consultant Cardiologist
Jennifer completed her Fellowship in Echocardiography at St Vincent’s Hospital Melbourne following her Advanced Training at Eastern Health. In 2015, she was awarded her Doctor of Philosophy (University of Melbourne) in the field of echocardiography, natriuretic peptides and heart failure prevention. She subsequently worked for 7 years in the Heart Failure Clinic at SVHM and at Goulburn Valley Health, before establishing her own practice, Connected Cardiology, in 2019.
She has always been passionate about improving quality of life and outcomes for patients with heart failure, through the appropriate use of echocardiography and evidence based pharmacological therapy. Having been heavily involved in medical education throughout her career, she strives to improve the understanding of heart failure in the community and in primary care.

Associate Professor Ralph Audehm
Ralph is a general practitioner who graduated from Melbourne University in 1984 and has worked for over 25 years in general practice. He is experienced in managing all types of patients. He obtained a Diploma from the Royal Australian College of Obstetricians and Gynaecologists in 1987 and is an Honorary Clinical Associate Professor at the Department of General Practice, University of Melbourne.
He has had a long-standing interest in the management of chronic conditions in general practice, especially diabetes and heart disease. He enjoys teaching medical students, GP registrars and GPs.

Dr Peter Piazza
Peter has been in general practice in the inner west of Sydney since 1977. As his patients have grown older with him over the last 40 years and some, he has seen more and more of them present with risk factors for cardiovascular disease, and the subsequent development of conditions such as myocardial infarction and chronic heart failure.
An engaging speaker, Dr Piazza has developed a keen interest in GP education, especially his own!